Una momia envuelta de calidad novedosa y apariencia excepcional, cuyos ritos funerarios se conservaron desde hace mucho tiempo, ahora ha sido desenvuelta, no a mano sino virtualmente, utilizando tomografías computarizadas de última generación y software de modelado 3D, revelando misterios de los antiguos reyes de Egipto.
Por: The Epoch Times / Traducción libre del inglés de Morfema Press
En 1902, entre las momias reales trasladadas al Museo Egipcio de El Cairo se encontraba Amenhotep I, que reinó desde 1525 hasta 1504 a. C. durante la XVIII Dinastía, cuyos restos fueron encontrados en la tumba de Luxor Deir el-Bahari Royal Cache, donde se colocó la realeza del Nuevo Reino. , para protegerlos de los ladrones de tumbas, hace unos 3.000 años.
Una de las pocas momias encontradas completamente envueltas en los tiempos modernos, Amenhotep I fue maravillado por el entonces director de antigüedades en Egipto, Gaston Maspero. Habiendo sido profanada por saqueadores de tumbas hace mucho tiempo, la momia fue enterrada nuevamente por sacerdotes de la XXI Dinastía. El hermoso entierro presenta guirnaldas de flores amarillas, rojas y azules, así como una máscara intacta de cartonaje y madera pintada con ojos de obsidiana y una cobra que adorna la frente. Cuando se abrió el ataúd de Amenhotep I, también se encontró en su interior una avispa preservada, posiblemente atraída por el olor a guirnaldas y atrapada. Preservando la novedad de este ritual, Maspero dejó tranquilo a Amenhotep I.
Sin embargo, los avances tecnológicos recientes han hecho posible un “desenvolvimiento” virtual de la momia, revelando más de la historia oculta en su interior.
Una unidad de tomografía computarizada especializada montada en un camión fue llevada al jardín del Museo Egipcio donde los restos de Amenhotep I fueron examinados con exquisito detalle, capa por capa, con sofisticados escáneres de rayos X. Usando los datos, el software de imágenes de última generación reconstruyó una representación en 3D, con objetos y materiales identificados en función de su densidad, lo que permitió a los investigadores diseccionar con «bisturís» digitales y virtualmente «desenvolver» la momia. Revelaría, de manera no invasiva, la manera en que Amenhotep I estaba vestido, dañado por saqueadores de tumbas y luego restaurado.
El rey dentro de la momia
Debajo de las sábanas de lino envueltas transversalmente que bajaban en espiral por el cuerpo de la cabeza a los pies, se hizo evidente el trabajo de los embalsamadores. Una incisión vertical de nueve centímetros realizada en el costado inferior izquierdo de Amenhotep I indicó evisceración (extirpación de órganos); la cavidad abdominal inferior se rellenó con lino tratado con resina. Sin embargo, no se extrajo el corazón ni el cerebro, que se descubrió intacto, descansando en la parte posterior del cráneo.


La momia de Amenhotep I fue descrita con una cara ovalada con ojos hundidos y mejillas colapsadas. Su nariz es pequeña, estrecha y aplanada, mientras que sus dientes sobresalen levemente. Sus orejas son pequeñas con un pequeño piercing en el lóbulo izquierdo. En particular, se ven algunos mechones de cabello enrollados en la parte posterior y los lados de la cabeza.
Estimaciones anteriores en cuanto a la edad de Amenhotep I basadas en exámenes de rayos X, primero en 1932, encontraron que tenía entre 40 y 50 años, y luego, a partir del análisis de los dientes en 1967, ubicaron su edad en 25. Sin embargo, las tomografías computarizadas recientes parecían en la sínfisis del pubis (un hueso en la parte inferior de la pelvis que se alisa con la edad) y colocó la edad de su muerte en 35 años.
Amuletos protectores y los hechizos de los sacerdotes
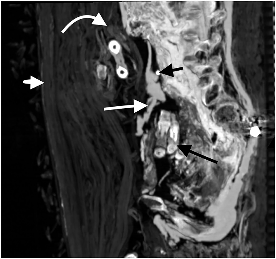
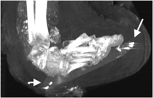
También se encontraron treinta amuletos/piezas de joyería. Amuletos de metal, cuarzo, piedra y arcilla cocida de varias formas y diseños fueron envueltos con la momia en diferentes lugares, con uno sobre el corazón y dos colocados dentro de la cavidad anormal. Los embalsamadores habrían pronunciado hechizos y envuelto estos como protección para el difunto. Otros artículos incluyen un cinturón de 34 cuentas de oro colocadas en la parte inferior de la espalda de la momia, alfileres de hueso o marfil y clavos metálicos que se usan para sujetar envolturas y extremidades en posición.



Tomb Raiders, Reentierro y Legado
La evidencia de ladrones de tumbas también estaba presente. El brazo izquierdo fue desarticulado y luego vuelto a envolver extendido junto al cuerpo de la momia. El brazo derecho de la momia, sin embargo, está doblado por el codo con el antebrazo superpuesto al abdomen, lo que indica que probablemente ambos brazos alguna vez estuvieron cruzados de la misma manera. Dos dedos de la mano izquierda también fueron desmembrados, probablemente por ladrones de tumbas, y fueron localizados dentro de un gran defecto de la pared de la cavidad abdominal. Más notable aún, el cuello de la momia había sido cortado, la cabeza decapitada y se volvió a unir con una banda de lino tratada con resina con un amuleto colocado debajo.
Si bien el proyecto de entierro de los sacerdotes de la XXI Dinastía ha sido acusado de estar destinado a la remoción y reutilización del equipo funerario real para los reyes del Tercer Período Intermedio, la re-momificación de Amenhotep I es, sin embargo, notable. El desenvolvimiento virtual ha preservado esta historia única al tiempo que proporciona información sobre los métodos de entierro y los honores que los sacerdotes de la Dinastía XXI alguna vez tuvieron para su realeza ancestral.
Amenhotep I fue el segundo rey de la XVIII Dinastía en ascender al trono después de la muerte de su padre, Ahmosis I. El nombre Amenhotep significa «Amón está satisfecho». Durante su reinado, protegió los territorios de Egipto, dirigió una campaña a Kush y una expedición a Libia. Su mandato fue pacífico y le permitió concentrarse en la organización administrativa y la construcción de templos como el de Amón en Karnak y uno en Nubia en Sai.