Morfema Press

Es lo que es

¿Qué son las carillas de resina?

Comparte en

Las carillas de resina o composite son un tratamiento estético dental no invasivo, en el cual se aplica previo estudio, de forma manual – artística y con tecnología adhesiva sobre la cara vestibular de los dientes, finas láminas hechas a medida, con la finalidad de aportar las modificaciones estéticas y funcionales optimas.

Clínica Pronova

Este tratamiento está indicado en pacientes que deseen cerrar diastemas, devolver la forma, color y textura del diente; rehabilitar dientes fracturados o desgastados, y dar forma con anatomía dental a dientes cónicos. También para los pacientes que desean corregir ligeras malposiciones dentales como ligeros apiñamientos o rotación.

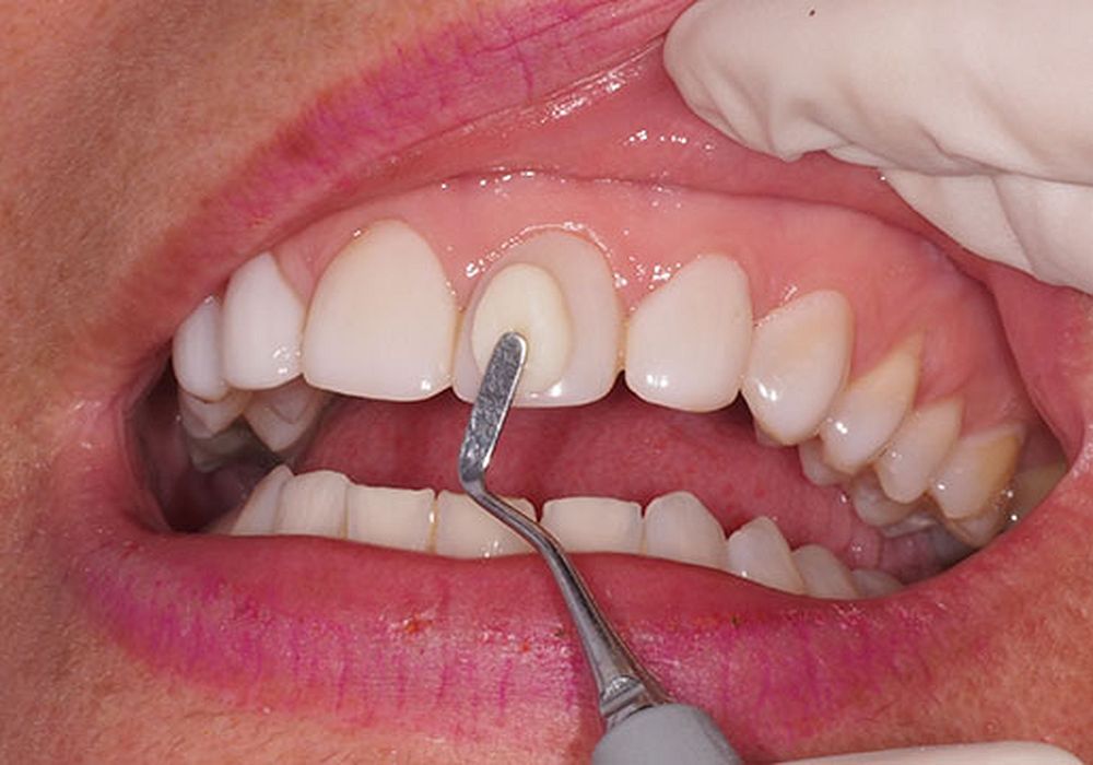
¿Cómo es el procedimiento?

Previo a la realización de las carillas, se cita al paciente para recopilar información del caso como las fotografías para realizar un estudio digital, los registros dentales que transformamos en modelos de yeso sobre los cuales se realiza el encerado, que consiste en realizar las carillas en cera sobre estos modelos. Una vez realizado el diseño, se procede a realizar las carillas en boca en otra cita.

Para llevar a cabo las carillas es imprescindible realizar una preparación del esmalte mediante un suave pulido sobre la superficie y asegurar así un buen control de la adhesión de la carilla.

El composite se coloca sobre el diente en forma de masilla y se va modelando con el instrumental hasta obtener las características en cuanto a forma para la carilla y seguidamente se fotopolimerizan, es decir, se endurecen aplicando luz LED. El composite o composites que vamos a usar se seleccionan de una amplia gama de colores que nos aportaran diferentes opacidades, translucidez y color dependiendo de lo que necesitemos para mimetizarlo con la estructura dental.

¿Y qué es el composite?

El composite es una resina compuesta es un material biocompatible que está formado por una matriz orgánica que habitualmente es el BIS-GMA y un micro relleno mineral como por ejemplo el cuarzo, zirconita o silicato de aluminio aportando estética, resistencia al desgaste, elasticidad, radiopacidad y dureza.

Una fase muy importante una vez finalizada la carilla es el pulido, proceso en el que se utilizaran diferentes técnicas y materiales, obteniendo así las características de brillo y suavidad de la carilla igual al diente.

Las ventajas que presenta esta técnica son, principalmente, que se realiza en una sola sesión, que se pueden reparar de forma inmediata en el caso de fractura, y que suponen un menor coste. Por otra parte, necesitan mayor mantenimiento, como sesiones de pulido a lo largo de los años debido a su susceptibilidad de decoloración. Otra desventaja es que son menos resistentes, siendo su vida media unos cinco años.

¿Qué cuidados requieren las carillas de resina?

En primer lugar, es imprescindible mantener una excelente higiene oral, que hará que nuestras carillas mantengan durante más tiempo sus propiedades estéticas.

También es fundamental evitar en la medida de lo posible masticar alimentos duros, como por ejemplo turrón duro, frutos secos, e incluso caramelos pegajosos. Limita el consumo de alimentos con alto contenido en colorantes como el curry, salsa de soja, café o el vino tinto.

Al igual que se recomienda evitar malos hábitos como morderse la uñas, masticar hielo y por supuesto fumar. Una forma adicional de proteger las carillas en el caso de bruxismo o apretamiento es realizar y usar la férula de descarga por la noche.

Por último, es importante acudir a todas las revisiones y mantenimientos recomendados, al igual que seguir las indicaciones en relación al cuidado de las carillas.

WP Twitter Auto Publish Powered By : XYZScripts.com
Scroll to Top