Cada 21 de marzo se celebra el Día Mundial del Síndrome de Down, cuyo principal objetivo es crear conciencia dentro de la sociedad acerca del valor que tienen estas personas, a pesar de su discapacidad intelectual. Se pretende reivindicar sus aportaciones a la sociedad, sus derechos e independencia para la toma de sus propias decisiones y crecimiento personal.
Origen del Día Mundial del Síndrome de Down
El Día Mundial del Síndrome de Down se celebra desde el 21 de marzo de 2012, por Resolución aprobada por la Asamblea General de la Organización de las Naciones Unidas (ONU) el 19 de diciembre de 2011 (A/RES/66/149).
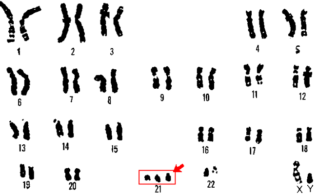
La elección de la fecha de esta efeméride es debido al proceso de división genético denominado Trisomía 21. El día 21 del mes 3 del año se usa para simbolizar esa trisomía.
¿Qué es el Síndrome de Down?
El Síndrome de Down, no es una enfermedad, como la mayoría de las personas creen. Se trata de una condición o trastorno cromosómico que ocurre cuando aparece una alteración o material genético extra en el cromosoma 21, generando discapacidad intelectual.
De acuerdo a datos de la Organización de las Naciones Unidas esta condición ocurre entre 1 de cada 1.100 recién nacidos.Todavía no hay explicación de por qué existe material genético extra en estas personas, aunque se sospecha que puede deberse a un proceso de división defectuoso que da como resultado un cromosoma más, llamado trisomía 21.
La consecuencia más evidente es un desarrollo incompleto a nivel cerebral, que provoca discapacidad intelectual y algunos trastornos físicos, que afectan el sistema digestivo y también ocasiona daños en el corazón.
Los derechos de las Personas con Síndrome de Down
Las personas con Síndrome de Down deben gozar de los mismos beneficios y privilegios que la mayoría de las personas en la sociedad actual. Su derecho a la igualdad, oportunidad, y felicidad plena, son inalienables.
Para la Organización de las Naciones Unidas, el Día Mundial del Síndrome de Down forma parte de la Agenda 2030, como parte del plan de acción sostenible para proteger a estas personas contra cualquier tipo de abuso, atropello o discriminación.
Su valor y contribución para la humanidad no debe ser inferior a pesar de su discapacidad, ya que con trabajo, atención y ayuda las personas con Síndrome de Down pueden ser incorporadas a la vida social, desempeñando múltiples actividades.
Personas con Síndrome de Down: un ejemplo a seguir
Son muchas las historias conmovedoras de niños, jóvenes y personas adultas con esta condición, que han podido abrirse camino en una sociedad cada vez más competitiva y exigente. Te damos algunos ejemplos inspiradores:
- Este es el caso de la reconocida diseñadora guatemalteca Isabella Springmuhl quien, a pesar de su condición, está rompiendo estereotipos en el fascinante mundo de la moda. Es una joven de tan sólo 20 años, que con su talento, ha demostrado que no hay límites ante la adversidad.
- Otro caso interesante es el del famoso actor español Pablo Pineda. Un joven que se ha convertido en un verdadero ejemplo de superación, siendo galardonado como mejor actor en el Festival de Cine de San Sebastián. Además es el primer licenciado europeo con Síndrome de Down. Protagonizó una película, ha escrito libros y se dedica a dar charlas motivacionales a nivel internacional.
- Bárbara Wetzel es una gimnasta mexicana, declarada campeona mundial de Gimnasia con Síndrome de Down (categoría junior) en el año 2015. Posteriormente, fue la ganadora en la modalidad All Around en un certamen internacional, celebrado en Alemania.
- Sofía Girau es una modelo puertorriqueña de 23 años que se convirtió en la primera modelo con síndrome de down que participó en una campaña de la afamada marca Victoria’s Secret. Asimismo, debutó en la New York Fashion Week 2020.
- Eli Reimer se convirtió en el primer adolescente con síndrome de down en llegar al Campo Base Sur del Monte Everest. Asumió el reto de escalar esta imponente montaña, recaudando fondos para la campaña The Elisha Foundation para ayudar a niños con discapacidades.
- Sujeet Desai es un músico y atleta profesional que ha participado en diferentes orquestas alrededor del mundo, graduado con honores en la Academia de Música Berkshire Hills, en Massachusetts. Toca el piano, el violín y el saxofón y ha sido galardonado con varios premios nacionales e internacionales. Es cinta negra en Tae Kwon Do y medallista olímpico en natación, ganando preseas de oro y plata.
- Shoko Kanazawa es una prodigiosa calígrafa japonesa que ha desarrollado una técnica de efecto de barrido, consagrándola como una de las artistas de caligrafía más respetables de Japón. Ha presentado exposiciones en el Museo Nacional de Tokio.
- Fernanda Honorato es una conocida reportera de televisión brasileña que realiza entrevistas a los artistas más famosos de Brasil. En el año 2014 entró en el RankBrasil, por ser la primera reportera con síndrome de down en este país.
- Owen Groesser es un jugador de baloncesto norteamericano, conocido por su famosa «jugada Owen» por hacer dos jugadas de 3 puntos, obteniendo la victoria para su equipo. Esta hazaña se volvió viral y ha aparecido en el programa Sports Center, de la cadena televisiva ESPN.
Lo que necesitamos saber sobre el Síndrome de Down
¿Sabías que? Presentamos a continuación algunos datos curiosos e interesantes sobre el Síndrome de Down:
- A finales del siglo XIX el médico inglés John Langdon Down fue el primero en descubrir las características comunes de esta condición genética, denominándola con su apellido.
- El genetista francés Jérome Lejeune descubrió en la década de 1950 que el síndrome de down era causado por un cromosoma extra.
- En Francia se registró uno de los casos más antiguos de Síndrome de Down. Fue descubierto en el esqueleto de un niño, con una data de 1.500 años.
- Las personas con síndrome de down tienen una mayor predisposición a desarrollar la enfermedad de Alzheimer luego de los 50 años de edad.
- Actualmente la esperanza de vida de las personas con esta condición es de 60 años. En la década de los ochenta era de 25 años de edad.
- Uno de los rasgos característicos de las personas con síndrome de Down es la aparición de una única línea transversal en ambas palmas de las manos, en vez de las dos líneas horizontales en forma de M.
- Algunos deportes como montar a caballo (saltos), artes marciales (combates) y saltos de trampolín están contraindicados para las personas con esta condición, debido a que pueden generar traumatismos en el cuello. Ello es debido a la inestabilidad del ligamento que conecta a la cabeza con el cuello.
- Algunos niños con síndrome de down aprenden a expresarse inicialmente con lenguaje de signos, ya que articular sonidos puede resultar más complejo.
- Se estima que las mujeres con Síndrome de Down son fértiles y los hombres con este trastorno son estériles.
- Antiguamente, en algunas culturas mesoamericanas las personas con síndrome de down eran consideradas seres divinos, debido a la similitud de sus rasgos físicos con la deidad Werejaguar.


